Chirurgia
La Gastrectomia

Una celebre parabola di Cristo narra di un viandante di buon animo, che incontra sulla strada un uomo derubato e ferito da un gruppo di banditi. Fermatosi, il viandante medica lo sventurato con olio e panni, poi lo conduce al più vicino alloggio e gli fornisce l’occorrente per il soggiorno durante la convalescenza. Questo uomo, che non solo prova compassione per il ferito, ma che anche prende l’iniziativa di medicarlo e lo medica correttamente con i materiali di cui dispone, è il prototipo del vero medico, che sa esprimere la carità con determinate conoscenze e applicazioni tecniche. Tuttavia, è evidente che la capacità tecnica non è sufficiente: se il ferito, pur accuratamente medicato, fosse lasciato sul posto, soccomberebbe per ipotermia o denutrizione. Dunque, la carità esige ulteriori soluzioni.
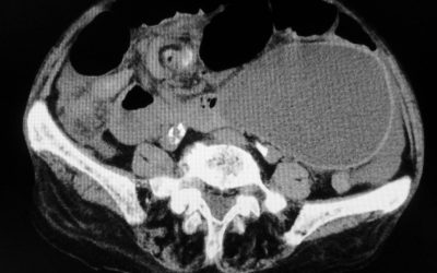
La diverticolite del cieco
di Enrico Ganz Premessa Nell’esaminare questo tema, sarà considerata in modo specifico la diverticolite confinata al cieco. Si farà riferimento alla diverticolite del colon destro solo quando ne possano derivare osservazioni estensibili alla diverticolite del...
Un particolare caso di ernia interna del cieco
di Enrico Ganz Si definisce “ernia interna” l’impegno, ovvero la protrusione, di un viscere in una lacuna congenita o post-traumatica di un meso, oppure in un recesso del cavo peritoneale (19). Usualmente questi recessi sono fisiologici, quale è la borsa...
Nodulo intra-pancreatico non metastatico evidenziabile con RMN e 68Ga-DOTA-peptide PET/TC: resezione pancreatica o agobiopsia eco-endoguidata?
di Enrico Ganz l riscontro accidentale di un isolato nodulo intrapancreatico non metastatico nel corso di una tomografia computerizzata (TC) pone il problema di comprendere se sia opportuno un trattamento chirurgico, un periodico controllo della lesione o...
Intussuscezione intestinale nell’adulto
di Enrico Ganz Introduzione Il termine medico “intussuscezione” deriva dalla composizione dell’avverbio latino “intus”, che significa “all’interno” con il termine “susceptio”, che significa “accoglimento”. Si definisce “intussuscezione intestinale”...
La Chirurgia entrerà in una macchina del tempo?
di Enrico Ganz Introduzione Negli ultimi decenni il progresso tecnologico in ambito chirurgico ha consentito di rendere più sicuri e agevoli numerosi interventi. Come esempio, ricordiamo la possibilità di confezionare le anastomosi con suturatrici meccaniche,...
Il volvolo dell’intestino tenue nell’adulto
di Enrico Ganz Introduzione Il termine medico “volvolo” deriva da “volvere”, verbo latino che in una sua accezione significa “avvoltolarsi”. Si definisce “volvolo ileale” un’anomala rotazione di un tratto ileale attorno al suo mesentere con un angolo tale da...
Fibrosi mesenterica correlata a tumore neuroendocrino (carcinoide) dell’intestino tenue
di Enrico Ganz La più nota e frequente sindrome paraneoplastica associata ai tumori neuroendocrini compresi tra la terza porzione duodenale e il colon trasverso prossimale (“midgut carcinoids”) è la sindrome da carcinoide, comprendente un’ampio spettro di...
Chiusura di colostomia: tecnica chirurgica
di Enrico Ganz Introduzione Per “chiusura di enterostomia” si intende una procedura chirurgica finalizzata a ristabilire la continuità intestinale, suturando l’orifizio artificiale di un’ansa intestinale che è stata precedentemente esteriorizzata attraverso...
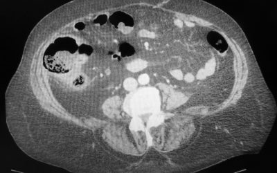
L’infarto del cieco
di Enrico Ganz Questo scritto ha per tema una patologia chirurgica di non frequente riscontro, l’infarto del cieco. La sua trattazione sarà seguita dalla presentazione di un caso clinico utile per alcune riflessioni principalmente focalizzate sul trattamento...
Ernioplastica inguinale con protesi interfasciale: note di tecnica chirurgica
di Enrico Ganz Introduzione Attualmente una delle più comuni tecniche di ernioplastica per la correzione dell’ernia inguinale monolaterale non recidiva, sia non complicata, sia complicata da strangolamento (27), prevede l’utilizzo di una rete protesica...
Perforazione di diverticolo duodenale paravateriano da duodenolita: segnalazione di un caso e osservazioni sul trattamento della perforazione diverticolare paravateriana
di Enrico Ganz I diverticoli duodenali sono riscontrati nel 4%-18% della popolazione (14,37,39,45); il loro diametro varia normalmente tra 1 cm e 5 cm (40). Nella maggior parte dei casi essi non producono sintomi per l’intero corso della vita; diventano...
Trattamento dell’ileo biliare associato a fistola colecisto-duodenale: accorgimenti per ridurre la mortalità
di Enrico Ganz Scopo di questo scritto è di definire un quadro di accorgimenti utili per ridurre la mortalità e la morbilità dopo un intervento per occlusione intestinale da calcolo migrato nell’intestino dalla colecisti attraverso una fistola...











