Chirurgia
La Gastrectomia

Una celebre parabola di Cristo narra di un viandante di buon animo, che incontra sulla strada un uomo derubato e ferito da un gruppo di banditi. Fermatosi, il viandante medica lo sventurato con olio e panni, poi lo conduce al più vicino alloggio e gli fornisce l’occorrente per il soggiorno durante la convalescenza. Questo uomo, che non solo prova compassione per il ferito, ma che anche prende l’iniziativa di medicarlo e lo medica correttamente con i materiali di cui dispone, è il prototipo del vero medico, che sa esprimere la carità con determinate conoscenze e applicazioni tecniche. Tuttavia, è evidente che la capacità tecnica non è sufficiente: se il ferito, pur accuratamente medicato, fosse lasciato sul posto, soccomberebbe per ipotermia o denutrizione. Dunque, la carità esige ulteriori soluzioni.
Vi è l’indicazione ad effettuare una colecistectomia in corso di pancreatite acuta?
di Enrico Ganz Questo articolo esamina la questione del timing di una colecistectomia rispetto all’esordio di una pancreatite acuta biliare, prendendo spunto da due casi clinici da me valutati. Nel rispetto della privacy saranno presentati due casi...
Aggiornamenti giugno 2019 – giugno 2020
E' stato rimosso l'articolo "Note chirurgiche sull'adenocarcinoma del cardias: resezione gastrica e linfoadenectomia". L'articolo è sostituito dall'aggiornamento 2020 del capitolo 2.3 nel volume "La gastrectomia" E' stato rimosso l'articolo "Early gastric cancer"....
Resezione colica segmentaria sinistra con conservazione dei vasi mesenterici inferiori per adenocarcinoma tra colon discendente e sigma: indicazioni e aspetti tecnici
di Enrico Ganz Scopo di questo scritto è di analizzare le indicazioni e gli aspetti tecnici di una resezione colica segmentaria sinistra con conservazione dei vasi mesenterici inferiori, prendendo spunto da un caso di adenocarcinoma T1 localizzato tra colon...
Osservazioni sull’uso della laparoscopia nella diagnosi differenziale tra appendicite e malattia infiammatoria pelvica
di Enrico Ganz E’ ben noto che in molti casi una diagnosi pre-operatoria di appendicite acuta non è definibile con certezza sulla scorta dei soli dati clinici. La sintomatologia può essere considerata decisamente orientativa per un’appendicite solo quando il...
Erniazione transmesocolica retrociecale dell’intestino tenue complicata da strozzamento e da volvolo
di Enrico Ganz Le erniazioni viscerali tramite lacune del mesocolon, del mesentere e dell’omento sono molto rare, ma sono comunque occasionalmente riscontrate in ogni U.O. chirurgica che espleti attività d’urgenza. Nell’articolo “Un particolare caso di ernia...
Il volvolo del cieco
di Enrico Ganz Il volvolo del cieco in senso stretto consiste nella rotazione assiale del cieco rispetto a un punto di fissità, tale da comprometterne la vascolarizzazione e da causare occlusione. E' un evento piuttosto raro, da me documentato nelle foto qui...
Opportuni criteri per definire l’estensione dell’escissione mesorettale consentono di scegliere appropriatamente tra sezione “alta” e sezione “bassa” dell’arteria mesenterica inferiore nelle resezioni colo-rettali per adenocarcinoma del retto
di Enrico Ganz In questo articolo analizzo dapprima le conoscenze relative al livello di sezione arteriosa mesenterica nelle resezioni colo-rettali per adenocarcinoma del retto. Pervengo alla conclusione che la principale finalità di una sezione mesenterica...
Resezione colica con conservazione della vena mesenterica inferiore per adenocarcinoma della flessura splenica: intervento palliativo o radicale?
di Enrico Ganz Nel trattare i tumori della flessura splenica del colon si considerano tali per convenzione gli adenocarcinomi localizzati tra i dieci centimetri prossimali e i dieci centimetri distali rispetto alla flessura sinistra del colon. I sottotipi istologici,...
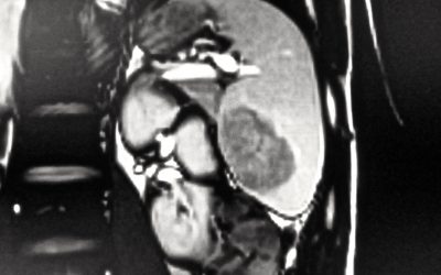
Neoformazione solida solitaria primitiva della milza: percorso diagnostico-terapeutico
di Enrico Ganz Nell’uso clinico, per “neoformazione solida primitiva della milza” si intende una malformazione o un tumore, benigno o maligno, che origina dal tessuto splenico, distinguendosi perciò dalle metastasi, che occasionalmente colonizzano la milza. Il...
“Escissione mesocolica completa” o “escissione mesocolica appropriata” nel tumore del terzo medio del colon trasverso?
di Enrico Ganz Introduzione I tumori del colon trasverso rappresentano circa il 10% dei tumori colici (6) e sono frequentemente riscontrati in stadi avanzati (8,14). Anche quando vi è l’indicazione alla resezione radicale in assenza di metastasi, i più...
Breve nota sulla resezione colica nel trattamento del tumore del colon discendente e dei tumori sincroni del colon discendente e del sigma in esiti di emicolectomia destra – (Rev. aprile 2019)
di Enrico Ganz Il trattamento chirurgico del tumore localizzato nel colon discendente consiste in una colectomia segmentaria sinistra alta. Questa procedura prevede la legatura della vena mesenterica inferiore a livello del margine caudale del pancreas e la legatura...
E’ opportuno prevenire il laparocele con una protesi biologica negli interventi di chiusura di colostomia?
di Enrico Ganz Le immagini presentate in questo articolo evidenziano alcuni momenti di una laparoplastica effettuata per un laparocele in fossa iliaca sinistra (Fig. 2). Il caso si presta per documentare in generale i limiti tecnici di una riparazione in tale area...










