Chirurgia
La Gastrectomia

Una celebre parabola di Cristo narra di un viandante di buon animo, che incontra sulla strada un uomo derubato e ferito da un gruppo di banditi. Fermatosi, il viandante medica lo sventurato con olio e panni, poi lo conduce al più vicino alloggio e gli fornisce l’occorrente per il soggiorno durante la convalescenza. Questo uomo, che non solo prova compassione per il ferito, ma che anche prende l’iniziativa di medicarlo e lo medica correttamente con i materiali di cui dispone, è il prototipo del vero medico, che sa esprimere la carità con determinate conoscenze e applicazioni tecniche. Tuttavia, è evidente che la capacità tecnica non è sufficiente: se il ferito, pur accuratamente medicato, fosse lasciato sul posto, soccomberebbe per ipotermia o denutrizione. Dunque, la carità esige ulteriori soluzioni.
Esiste la rottura spontanea di milza? Un’insolita causa di rottura splenica non traumatica
di Enrico Ganz E’ ben noto che una rottura di milza può manifestarsi “a ciel sereno” in assenza di un evidente trauma. Si identifica questo tipo di rottura con le specificazioni “non traumatica” oppure “spontanea” (1,2,3,4,6). Evidentemente l'uso di questo...
Mini-invasività nella splenectomia per via laparotomica
di Enrico Ganz Attualmente la tecnica di splenectomia per via laparoscopica è ben codificata e trova ampio utilizzo, ma non sempre è indicata nelle voluminose splenomegalie. Nel caso di milze con asse bipolare maggiore di diciotto centimetri la tecnica...
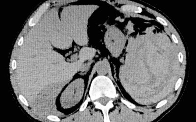
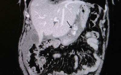
Un caso di rottura idiopatica dell’arcata arteriosa della piccola curvatura gastrica
di Enrico Ganz E’ riportato un caso di rottura spontanea dell’arcata vascolare della piccola curva gastrica in adiacenza dell’antro. Si discute successivamente il caso in rapporto alle conoscenze relative alle emorragie non traumatiche delle arterie gastriche....
Accessi chirurgici per l’esplorazione laparoscopica del tenue
di Enrico Ganz L’indicazione a un’esplorazione laparoscopica dell’intestino tenue nella sua intera estensione è piuttosto infrequente e può porsi per una sintomatologia di tipo subocclusivo, ipoteticamente riferibile a una lesione stenosante del tenue, non...
Un’appendice inconsueta
di Enrico Ganz Nella comune esperienza clinica le appendici flogistiche possono raggiungere occasionalmente un diametro di due- tre centimetri a causa dell’inspessimento flogistico delle pareti. Il diametro di un'appendice normale può invece variare tra 4 mm e...
Un caso di tumore benigno della milza: osservazione o splenectomia?
di Enrico Ganz Quale è la migliore strategia per una formazione solida della milza, verosimilmente benigna? Affrontare una questione di questo tipo non è del tutto banale. I tumori splenici benigni sono piuttosto rari e nei testi di Chirurgia poco è speso al...
GIST duodenali: soluzioni chirurgiche e analisi di un caso clinico
di Enrico Ganz Nel seguente articolo sono esaminate le possibilità chirurgiche per l’asportazione di un GIST duodenale. La decisione di trattare questo tema è successiva alla mia constatazione che alcuni chirurghi hanno una certa ritrosia verso le soluzioni...
Videolaparocolecistectomia nella colecistite acuta litiasica. Introduzione alla tecnica chirurgica
di Enrico Ganz Premessa La colecistite acuta litiasica di grado lieve o moderato secondo la classificazione di Tokyo (Tab. 1) può essere trattata al suo esordio in modo conservativo, avvalendosi di antibiotici, di antidolorifici e del digiuno, oppure...
Il nodo autobloccante G: risoluzione dei problemi per l’utilizzo laparoscopico
di Enrico Ganz In un recente articolo, pubblicato in questo sito, ho presentato il nodo G, un nuovo tipo di nodo scorrevole autobloccante, derivante da una modifica nell’esecuzione del nodo YS. Il cappio del nodo G ha presentato un’adeguata tenuta sotto le...
Nodi extracorporei in chirurgia laparoscopica
di Enrico Ganz Questa sezione completa la precedente presentazione del nodo G, illustrando il confezionamento di alcuni validi nodi scorrevoli autobloccanti utilizzabili in chirurgia laparoscopica: il nodo Roeder, il nodo Weston, il nodo Mishra e il nodo GEA....
Nota di tecnica chirurgica: un nuovo nodo extracorporeo autobloccante
di Enrico Ganz Nel corso di una procedura laparoscopica i nodi possono essere eseguiti in sede intracorporea o in sede extracorporea. Nel primo caso i tipi di nodo non differiscono da quelli utilizzati negli interventi laparotomici. Nel secondo caso si tratta...
Miotomia secondo Heller e plastica secondo Dor per via laparoscopica: dettagli tecnici
di Enrico Ganz Scopo di questo scritto è di precisare alcuni fini dettagli della tecnica di miotomia secondo Heller con plastica secondo Dor per il trattamento laparoscopico dell’acalasia. L’acalasia è una patologia funzionale dell’esofago, caratterizzata da...











